【安全】郑州一女子景区坐山地飞车脚被甩出车外,撞上跑道多处骨折……

来源:郑州日报
记者:汪永森 文/图
原标题:山地飞车发生多起事故,3人伤的不轻
“山地飞车没有提供防护服和护膝、护腕,景区也没有配备应急医疗人员,没尽到安全保障义务。”近日,代先生向郑州日报“市民热线”反映,家人在新密伏羲山兰崖湾景区游玩时受伤,目前景区仍在运行“山地飞车”项目,而家人的治疗和赔偿也成了一大问题。

问题———
体验山地飞车
身体受伤被送医
伏羲山·兰崖湾于2026年1月31日开园纳客,其公众号曾发出邀请“约上家人朋友来一场说走就走的‘仙崖野趣’之旅,在云端飞船上放声尖叫,在山地飞车上感受快意……”,春节期间这里也成为不少游客的休闲新选择。
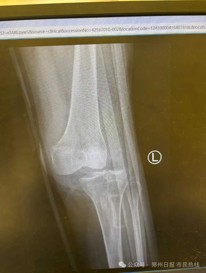
2月14日,代先生的妹妹和母亲来到景区游玩,在体验山地飞车项目时所乘飞车与他车发生碰撞,致使其母身体多处受伤被紧急送医。
“左膝关节脱位,多处韧带断裂,伤得非常重,需多次手术治疗,且后续会影响功能。”代先生说,春节假期山地项目仍在继续运营,而景区应对家人的治疗问题时的态度也不够积极。
他指出,意外发生前,景区未对山地飞车项目存在场隐患进行有效提醒,没有给游客配备护膝、护腕等护具,家人游玩时“头盔都是刚从箱子里拿出来的,需要游客自己拆包装”,而家人身体受伤之后,景区也未提供有效的医疗救护。

“年前发生了两起事故,大年初一又有游客受伤,景区在车道上有人受伤后依然不暂停发车,导致伤者当着景区工作人员的面受到二次撞击,脊椎受伤,伤势非常重。”他表示,春节期间自己和家人走访郑州多家有骨科的医院,找到另外两名重伤游客,三人分别是多根韧带断裂、骨折、脊椎受伤。
回复———
项目已进行整改
将承担医药费用
2月26日,记者通过代先生提供的视频及网络搜索发现,另有网友指出在伏羲山·兰崖湾景区体验山地飞车项目时受伤,目前仍在与景区沟通治疗及赔偿问题,而该项目也仍在继续运营。
“母亲受伤后,景区临时将项目年龄限制调整为50岁以下,之前是60岁以下都可以。”代先生说,景区开园不到一个月,多名游客在体验山地飞山项目时受伤,说明该项目存在一定的危险性,希望景区尽快消除隐患问题,为游客提供安全的休闲环境。

下午,记者致电伏羲山·兰崖湾景区,相关负责人称开园运营之后确实有3名游客在体验山地飞车项目时受伤,景区针对意外情况对项目进行了整改,其内容包括规范护具的使用,对跑道、入口进行优化,同时设置明显的警示标识并对游客的年龄进行限制。
这名负责人表示,意外发生之后,景区对3名游客的治疗进行了跟进,和代先生一家也曾进行协商,但双方未就赔偿达成一致,目前采取的措施主要是保证治疗,不存在态度消极或回避的情况。
他说,景区肯定会承担受伤游客的医药费,现在与伤者一家的分歧主要集中在后期伤残鉴定后的赔付金额和方式,景区一定会在法律允许的范围内积极进行处理。
*点亮【在看】,扩散关注最新消息。
公众号修改了推送规则,现在必须加星标,多点在看,才能第一时间收到推送。
如果不想错过“李志轩”的文章,记得设为星标哦,以前加过的也需要重加。
人生总有遗漏,加了星标,我们才不会擦肩而过…

相关文章
发表评论
评论列表
- 这篇文章还没有收到评论,赶紧来抢沙发吧~